便携式影像中转服务模块移动端(X线版)
>>更多
在线讨论
参数设置
显示屏瓦片数:
×
当前层瓦片数:
3×4
×
窗位:
default:
16068
窗宽:
default:
27863
,
×
×
缩放等级:
第6层
第5层
第4层
第3层
第2层
第1层
操作记录
(前 5 次)
●
Zoom:
layer 6
layer 5
layer 4
layer 3
layer 2
layer 1
右肺下野钙化灶(12.66MB)
尿道外伤(14.68MB)
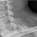
椎体骨折(10.69MB)
椎体骨折2(10.61MB)
肺挫伤(11.34MB)
胫腓骨上段粉碎性骨折1(14.68MB)
胫腓骨上段粉碎性骨折2(10.09MB)
胸腔积液(11.34MB)
腰椎骨折伴截瘫(10.49MB)
锁骨肩峰端陈旧性骨折(10.89MB)
锁骨骨折(14.73MB)
设计:重庆 陆军军医大学 生物医学工程与影像医学系 乔梁、邱明国等
邮箱:bobq@163.com
切换至CT影像版
起始点:
,
终止点:
,
右肺下野钙化灶
尿道外伤
椎体骨折
椎体骨折2
肺挫伤
胫腓骨上段粉碎性骨折1
胫腓骨上段粉碎性骨折2
胸腔积液
腰椎骨折伴截瘫
锁骨肩峰端陈旧性骨折
锁骨骨折