便携式影像中转服务模块移动端(X线版) >>更多
显示屏瓦片数: ×
当前层瓦片数: 3×4 ×
窗位: default:2047
窗宽: default:4095
  ,
 ×× 
缩放等级:

   操作记录(前 5 次)

Zoom:

           
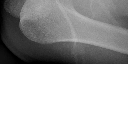
右肺下野钙化灶(12.66MB)尿道外伤(14.68MB)椎体骨折(10.69MB)椎体骨折2(10.61MB)肺挫伤(11.34MB)胫腓骨上段粉碎性骨折1(14.68MB)胫腓骨上段粉碎性骨折2(10.09MB)胸腔积液(11.34MB)腰椎骨折伴截瘫(10.49MB)锁骨肩峰端陈旧性骨折(10.89MB)锁骨骨折(14.73MB)
设计:重庆 陆军军医大学 生物医学工程与影像医学系 乔梁、邱明国等
邮箱:bobq@163.com    切换至CT影像版
起始点: ,          终止点: ,